Dental Smile Gallery – Washington, PA
Amazing Results from Our Skilled Dental Duo
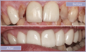
Drs. Stacy and Jessica Dean are a magnificent dental duo that’s able to offer a wide array of services, from routine prevention to extraordinary smile transformations. If you’re looking for a cosmetic or implant dentist in Washington, PA who can restore and rejuvenate your smile, you’ve come to the right place. We welcome you to view the results we’ve achieved below, and if you feel inspired to schedule a consultation, don’t hesitate to reach out.
More to Explore
About Us Meet the Dentists Meet the Team Tour Our Office Dental Technology View Our Services























